Mirá la ecografía a una perra que necesita ser operada
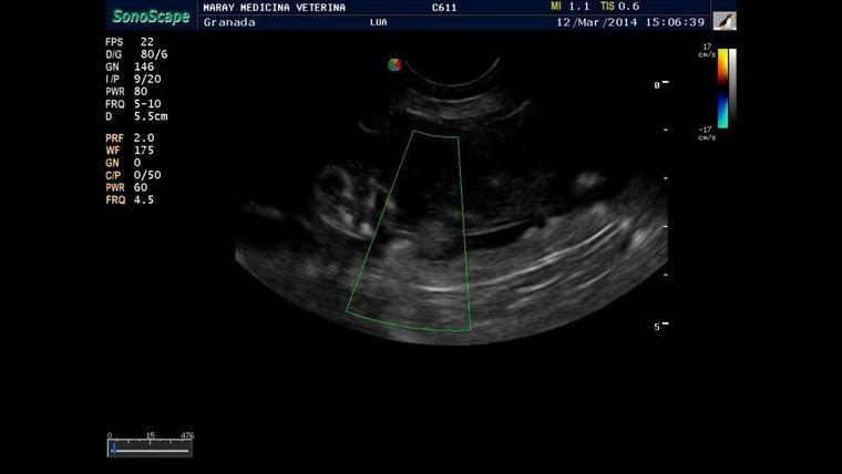
En diálogo con MDZ Napsix, el veterinario Agustín Carbone aportó las imágenes de la ecografía a una perra que había estado en celo hace unos dos meses aproximadamente. Se encontraba decaída y con la panza muy hinchada, por lo que el médico veterinario dispuso realizarle los análisis con urgencia para evaluar las causas del malestar del animal. De paso, Carbone aprovechó para recordar que la salud de las mascotas depende de los análisis que les hagamos con frecuencia.
Te puede interesar
Las 5 razas de perros consideradas más protectoras
Al hacer referencia al examen practicado, Carbone dijo: "El contenido del útero se ve con una colecta que puede ser sangre o pus, a medida que me desplazo hacia la cabeza se ven con mayor nitidez los cuernos del útero con contenido, lo cual no es normal. En ninguna ecografía que aparezcan ese tipo de rastros puede hablarse de un animal sano. En este caso esta perra tiene una colecta enorme, y necesita ser operada de modo urgente".
Mascotas: así se ve una ecografía a una perra
-
Te puede interesar
Día del animal: en esta Iglesia bendecirán especialmente a las mascotas
Mascotas: requisitos para realizar una ecografía
Carbone explicó que "en cuanto a las ecografías, las claves son un ayuno de 12 u 8 horas de sólidos, y es importante una retención urinaria de 4 horas, ya que sino el gas de los alimentos genera lo que llamamos en ecografías 'artefactos' que complican la visualización de las estructuras anatómicas en detalle del animal, y la retención urinaria es clave para que la vejiga esté grande y se puedan ubicar mejor en los planos".
Con respecto a los ritos a cumplir antes de este tipo de exámenes, Carbone señaló que "lo mejor es rasurar al paciente en la zona donde se va a realizar la ecografía, ya que el pelo es un gran enemigo de la imagen, porque interfiere con el traductor y no permite observar la imagen con claridad. En este sentido es importante colocar en esa zona una capa de gel neutro".

