Brote de triquinosis: advierten que ya son 41 los afectados en Córdoba
El Ministerio de Salud de Córdoba confirmó un brote de triquinosis.
Gobierno de CórdobaEl Ministerio de Salud de Córdoba, a través de su Departamento de Zoonosis, confirmó este martes un brote de triquinosis que afecta a cinco localidades de la provincia.
Te puede interesar
Aumenta el estacionamiento medido en Ciudad: los nuevos valores
Hasta el momento, se reportaron 41 casos de personas residentes en las ciudades de Córdoba Capital, Río Cuarto, Costa Sacate, Las Arrias y Los Molinos. La mayoría de los afectados evolucionan favorablemente con asistencia ambulatoria, aunque tres personas permanecen hospitalizadas.
En cuanto a la distribución de los casos, desde el Ministerio de Salud de la provincia de Córdoba detallaron que en la ciudad Capital hay 14 afectados; en Costa Sacate hay 17; en Río Cuarto, seis; y Las Arrias y Los Molinos tienen dos casos cada una.
Las investigaciones epidemiológicas señalan que los brotes de Córdoba, Río Cuarto, Costa Sacate y Los Molinos comparten como factor común el consumo de chacinados de elaboración casera, adquiridos en comercios locales. Por otro lado, los casos en Las Arrias se asocian a productos derivados de una faena domiciliaria.
Las autoridades desplegaron un operativo conjunto entre el Departamento de Zoonosis del Ministerio de Salud de la provincia de Córdoba, municipios locales, la Dirección General de Fiscalización y Control del Ministerio de Bioagroindustria, el SENASA y la Secretaría de Alimentos. Este equipo se encuentra en las localidades afectadas implementando las medidas de control necesarias.
Recomendaciones para prevenir la triquinosis
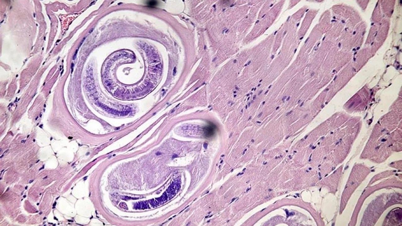
La triquinosis, causada por el parásito Trichinella spiralis, se trata de una enfermedad producida por un parásito con forma de gusano que se encuentra alojado en los músculos de los cerdos y otros animales salvajes, como el jabalí y el puma, según indica el Ministerio de Salud de la Nación.
En cuanto a cómo se transmite, las personas se contagian de modo accidental, por la ingestión de carne o derivados cárnicos, crudos o mal cocidos, que contengan larvas del parásito vivos. En Argentina, la principal fuente de infección para el ser humano es el cerdo doméstico.
La triquinosis puede presentarse con síntomas variados, desde fiebre y dolor muscular intenso hasta vómitos y diarrea. También puede presentar hinchazón de párpados y picazón. Ante alguno de estos síntomas se debe acudir inmediatamente al centro de salud más cercano, ya que, cuanto más temprano se detecte, más rápida y efectiva es la cura.
Existen medicamentos que permiten el tratamiento de la infección reciente, pero no hay un tratamiento específico para la triquinosis una vez que las larvas invaden los músculos. Los quistes perduran durante años y los analgésicos pueden ayudar a aliviar el dolor muscular.
Para evitar contraerla es importante:
- Consumir carne de cerdo y derivados frescos y bien cocidos (es decir, cocinándolos hasta que desaparezca el color rosado, la temperatura interna debe ser de 71 grados por al menos un minuto). Tener en cuenta que salar o ahumar la carne no es suficiente para matar al parásito.
- Adquirir los productos derivados, chacinados y embutidos (como jamón, panceta, longaniza, chorizos) solamente en comercios habilitados. Verificar en la etiqueta que hayan sido elaborados por empresas autorizadas donde se especifique marca, identificación del lote, fecha de elaboración y vencimiento, identificación del establecimiento elaborador y registro ante la autoridad sanitaria (RNE y RNPA). La venta callejera de estos alimentos está prohibida.
En zonas rurales y criaderos, es necesario:
- Respetar las normas establecidas por los servicios veterinarios para la cría de cerdos.
- Todos los establecimientos que críen cerdos deben contar con el permiso del Registro Nacional Sanitario de Productores Agropecuarios otorgado por el SENASA.
- Los cerdos deben ser criados en instalaciones adecuadas sin presencia de roedores y deben ser bien alimentados. Debe evitarse alimentarlos con basura, desperdicios de mataderos y/o residuos de casas de comida/ restaurantes, ya que en ellos puede haber restos de alimentos contaminados con el parásito.
- Asegurar una correcta disposición de los alimentos para los cerdos para prevenir la infestación de roedores y animales silvestres.
- Al realizar la faena de un animal (cerdo, jabalí o puma), incluso si se realiza de manera doméstica, es importante consultar al veterinario y pedir el análisis de una muestra de diafragma (entraña) de cada res, a fin de confirmar la ausencia del parásito que provoca la triquinosis a través de la técnica de digestión artificial.
- Se deberán eliminar los cadáveres de cerdos y otros animales para que no puedan ser consumidos por otros animales del lugar.
- Si se encuentra el parásito en un animal, es necesario eliminar la res completa.

