Tuvo dolor de cabeza por 20 años y los médicos descubrieron la increíble causa
Un joven chino de 28 años sufrió dolores de cabeza durante 20 años. Últimamente los males comenzaron a ser más frecuentes y severos.
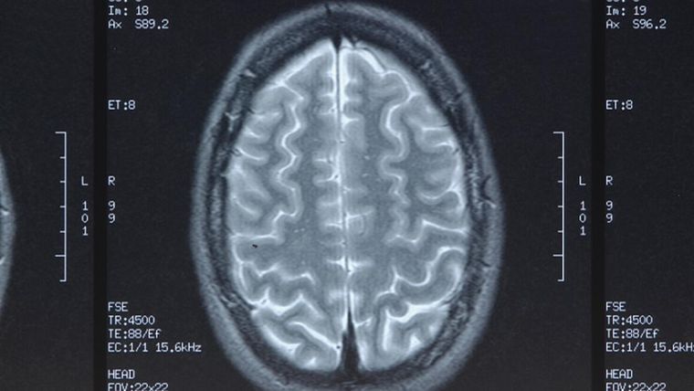
En un principio, el hombre, llamado Xiao Chen, pensaba que sus dolores se debían a las pocas horas de sueño, pero con el pasar de los años desestimó esa posibilidad y decidió ir a un hospital. El caso asombró a los profesionales quienes le realizaron una resonancia magnética.
En el estudio hallaron un objeto extraño que se encontraba alojado en el lado izquierdo de la cabeza, y luego de una inspección se reveló que el objeto era una bala.
Chen decidió hurgar en su pasado y recordó un acontecimiento de su infancia. Cuando era niño, él y su hermano estaban jugando con una pistola de aire comprimido en casa. El arma se disparó y le alcanzó un lado de la cabeza.
El joven recordó que tenían miedo a la reacción de sus padres, por lo que decidieron no contar nada ya que la herida estaba escondida por su cabello.
En ese momento, parecía un raspón y no era dolorosa por lo que con el pasar de los años, los niños se olvidaron de aquel episodio.
Los médicos le informaron a Chen que tuvo demasiada suerte ya que la bala estaba muy cerca de la sien.
Además, los expertos informaron que el proyectil nunca penetro el cráneo ni el cerebro. Chen fue sometido a una cirugía en la que le extrajeron con éxito la bala.
