Salió a correr con barbijo y le colapsó un pulmón
Un joven de 26 años salió a correr con barbijo en la ciudad china de Wuhan y sufrió el colapso de un pulmón. Mientras realizaba su recorrido habitual cumpliendo con las normas correspondientes, el joven comenzó a experimentar dificultades para respirar y dolor en el pecho. Cuando lo llevaron al hospital, le informaron que había sufrido un neumotórax por el colapso de un pulmón.
Zhang Ping es el nombre del joven deportista, quien decidió comenzar a hacer ejercicios para reforzar sus defensas. El joven corría en principio tres kilómetros, pero decidió redoblar la apuesta y sumas tres más. Al llegar a los cuatro kilómetros, empezó a sentirse mal.
El relato de lo que le ocurrió al joven chino fue consignado por el medio británico Daily Mail. Al sentirse realmente dolorido del pecho y con dificultades para respirar, ni bien llegó a su casa, su familia lo alentó a dirigirse al hospital. Y llegó justo a tiempo, ya que su caso, un rato más tarde, se podría haber complicado severamente e incluso lo podría haber llevado a la muerte.

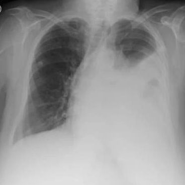
En el centro de salud de Wuhan, el muchacho se enteró de lo que le había sucedido. Había sufrido un neumotórax. El pulmón se había comprimido en un 90% y había corrido al corazón hacia el lado derecho. Allí le realizaron un procedimiento quirúrgico y lo pusieron a salvo.
Chen Baojun, director del departamento de cirugía torácica del hospital de Wuhan, señaló que la condición física del corredor, flaco y delgado, podía haber contribuido al problema. Pero también habló de la influencia del tapabocas. Señaló que su uso reducía el ingreso de oxígeno al cuerpo -en un momento de alta exigencia física- y que eso aumenta la presión sobre los pulmones y el corazón.

