"Su ojo estaba salido del cráneo": la cirugía pionera que curó una rara enfermedad de una niña brasileña
Te puede interesar
Anses cambia de tramo este viernes 24 y empieza a pagar haberes más altos
La historia de la niña brasileña Yasmin Garcia es aquella en la de un caso en el que un episodio ordinario, como los que vivimos todos los días, puede cambiar una vida.
Un juego de tira y afloja en la escuela desencadenó una serie de eventos que, en cuestión de horas, requirieron que la niña de 7 años viajara más de 500 kilómetros para someterse a una cirugía de emergencia.
-
Te puede interesar
Licencia de conducir: cada cuánto se renueva según tu edad en 2026
Afortunadamente, lo que podría haber resultado en la pérdida de visión y un daño estético permanente se resolvió con una cirugía mínimamente invasiva hecha con una aguja.
Sin embargo, para comprender esta verdadera epopeya es necesario retroceder cinco años en el tiempo.
Atención: algunas imágenes que aparecen a lo largo de esta nota pueden herir la sensibilidad de algunas personas.
Primeros síntomas
Cleci Haerter, la abuela de Yasmin, quien le ha hecho también de madre, relata que la primera señal de que algo andaba mal en el ojo de la niña apareció cuando esta tenía solo 2 años.
En ese momento, la familia vivía en la ciudad de Santo Ângelo, en el interior de Rio Grande do Sul (sur de Brasil, cerca de la frontera con Argentina).
"Se despertó con el ojo derecho un poco hinchado y pensamos que era una conjuntivitis", recuerda.
"A medida que avanzaba el día, comenzamos a notar que el globo ocular comenzó a hincharse demasiado".
La primera hinchazón de los ojos de Yasmin comenzó cuando tenía 2 años.
A la mañana siguiente viajaron a Porto Alegre, capital de Rio Grande do Sul, para hacerle una serie de exámenes.
La primera sospecha de los médicos fue que se trataba de un linfoma, un tipo de cáncer que afecta al sistema linfático, una red de vasos y ganglios muy importantes para el funcionamiento del sistema inmunitario.
Las pruebas mostraron, sin embargo, que el problema era diferente: Yasmin tenía linfangioma, una enfermedad caracterizada por la formación anormal de vasos linfáticos (y también vasos sanguíneos), que se agrupan en una determinada región y pueden dilatarse, causar hinchazón y promover la acumulación de líquidos.
Según los expertos consultados por BBC Brasil, esta enfermedad es rara y afecta a una de cada 10.000 personas.
Pero el estado de la niña era aún más inusual.
Estas malformaciones linfáticas suelen desarrollarse en la región de la cabeza y el cuello. En Yasmin, el linfangioma estaba ubicado detrás del ojo.
Eso produce que el globo ocular sea "empujado" hacia adelante debido a la inflamación de los vasos y la acumulación de líquido allí.
Este tipo de enfermedad es tan poco común que ni siquiera existe una estadística oficial de cuántos casos se conocen en el mundo.
Calma y tormenta
Después de ese primer episodio a los 2 años, que se trató drenando el líquido, la vida de Yasmin siguió con relativa normalidad.
"Cuando veíamos que su ojo comenzaba a hincharse, usábamos bolsas de hielo para reducir la hinchazón", dice Haerter.
"En la escuela siempre hablaba con la dirección y los profesores para que Yasmin no hiciera demasiado esfuerzo físico, ya que eso podía ser el detonante de una nueva crisis", agrega la abuela.
El ejercicio interfiere con el ritmo cardíaco, cambia la presión arterial y dilata los vasos sanguíneos. Esto, a su vez, podría provocar un desbordamiento de líquido en el linfangioma de Yasmin.
Mientras tanto, la familia se mudó a la ciudad de Cascavel, en el estado de Paraná, cerca de las cataratas del Iguazú.
Y aquí es precisamente donde entra el fatídico episodio del tira y afloja: en la escuela, la niña participó en el juego con sus compañeros y, horas después, ya presentaba la típica alteración de linfangioma.
Todo comenzó con una pequeña mancha morada en el párpado, que pronto evolucionó de forma tal que el ojo se proyectó hacia adelante.

Cuando Yasmin llegó a casa de la escuela, su abuela notó una mancha en su párpado. En poco tiempo, la hinchazón creció mucho.
"Tratamos de controlar la hinchazón en casa y la llevamos a dos oftalmólogos, pero nadie sabía qué era", dice Haerter.
"El ojo comenzó a hincharse mucho, estaba salido del cráneo. También tenía dolor, no podía comer y solamente vomitaba".
Haerter llamó entonces al hospital Pequeno Príncipe, que está a unos 500 kilómetros, en Curitiba, y es una referencia en el campo de la pediatría.
Ella ya había registrado a Yasmin para una evaluación en la institución y estaba esperando a que le dieran cita.
"Nos dijeron que la lleváramos de forma urgente. Salimos de aquí como al mediodía y llegamos a Curitiba a las 10 de la noche".
"Yasmin fue hospitalizada y le hicieron radiografías, tomografías y resonancias magnéticas mientras los médicos decidían qué hacer", resume.

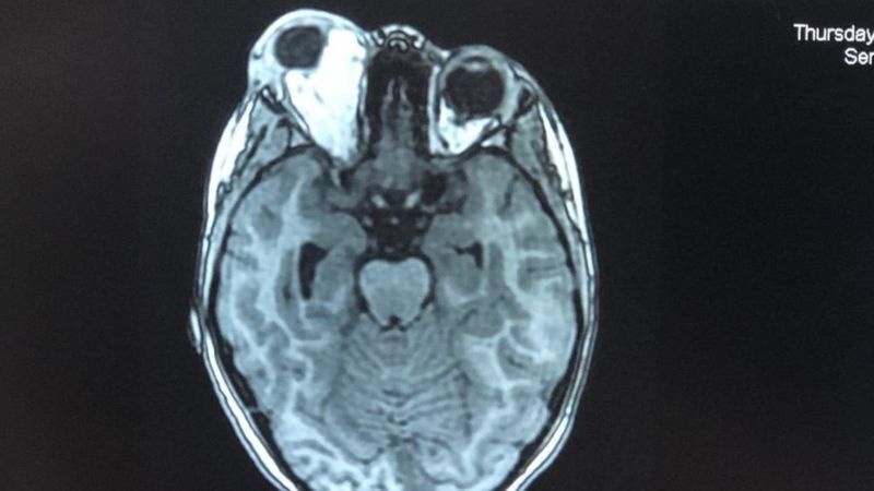
Una de las tomografías mostró cómo el ojo derecho de Yasmin (la mancha blanca a la izquierda en la imagen) sobresalía.
Región delicada
La pediatra Rafaela Wagner, que trabaja en el hospital y atendió a Yasmin, recuerda cómo la situación tuvo un impacto instantáneo.
"Tenía una herida deformante cuando la vimos por primera vez", dice.
En ese momento, el ojo de la niña sobresalía tanto que sus párpados ya no podían cerrarse por completo.
"Además de la alteración física, el problema afectó una región noble y delicada, por donde pasa el nervio óptico", detalla.
Este nervio es el encargado de transmitir la luz y los elementos visuales desde el ojo hasta el cerebro, donde se interpreta esta información.
El primer paso del tratamiento consistía en controlar los síntomas, como el dolor, y prevenir otros problemas secundarios, como una infección, mediante el uso de antibióticos.
Pero, ¿cómo resolver el problema en sí mismo y volver a poner el ojo en su lugar?
Debido a que es una enfermedad rara que involucra múltiples sistemas del cuerpo, el linfangioma puede ser tratado por varias especialidades médicas, que van desde la oncología y la neurología hasta la oftalmología y la cirugía.
Esta situación requirió de un verdadero batallón de profesionales de la salud, que analizaron el caso para encontrar la mejor alternativa.
Finalmente, la solución al problema de Yasmin recayó en manos de la radiología intervencionista, un área relativamente nueva de la medicina que utiliza equipos de radiografía para analizar partes del cuerpo en tiempo real durante un procedimiento.
Una picadura
La niña fue derivada a la sala de hemodinámica, que cuenta con el equipo necesario para realizar tal operación, y fue atendida por los radiólogos intervencionistas pediátricos Pedro Santini y Helder Groenwold Campos.
Luego de realizar la planificación quirúrgica mediante algunas pruebas, la dupla insertó una aguja en la región entre la base superior de la nariz y el ojo lesionado.
Para orientar el procedimiento contaban con una máquina que hace radiografías en tiempo real, y les permite visualizar el lugar exacto donde intervenir.

La dupla de radiólogos intervencionistas pediátricos que realizaron la operación de Yasmin.
"El primer paso fue drenar el líquido que se había acumulado allí", describe Campos.
Los expertos extrajeron 12 mililitros de un material rojo oscuro de aspecto pegajoso.
Esta cantidad puede parecer poca, pero cuando se acumula en un espacio tan reducido detrás del ojo puede causar muchos problemas.
El siguiente paso fue administrarle un medicamento de quimioterapia, que destruye solo las células defectuosas que forman el linfangioma.
"La idea es evitar que la malformación segregue los fluidos que provocan la hinchazón y todas las complicaciones relacionadas", resume Santini.

Los médicos drenaron el líquido que estaba causando la inflamación...
...luego infundieron el fármaco de quimioterapia que destruyó las células enfermas.
"Parece magia"
Después del procedimiento, Yasmin estuvo en observación durante algunas horas.
Cuando Haerter finalmente pudo volver a ver a su nieta, no podía creer lo que veía.
"Fue maravilloso ver cómo ya lucía un 98% normal", estima.
"Estaba supernerviosa porque la operación se realizó en una región muy delicada. Pero ni siquiera parecía que la hubieran operado ahí", confiesa.
Para Santini y Campos, las recuperaciones rápidas y no traumáticas no son precisamente nuevas.
"No hacemos incisiones grandes. Todo el material se guía con una aguja, a través de pequeños agujeros en la piel", dice Campos.
"La gente a veces espera que el paciente se vaya con vendajes y cicatrices cuando, de hecho, a veces ni siquiera se ve el agujero de la aguja después", añade.
Tal tratamiento incluso se puede realizar con anestesia local cuando el paciente es un adulto; para los niños, los especialistas realizan sedación para evitar que se mueva o se asuste demasiado.

Cleci Haertner con Yasmin poco después de la cirugía.
Pero incluso para Wagner, la pediatra que siguió todo el caso, los resultados son "impresionantes" y "parecen mágicos".
"Esa es la belleza del procedimiento mínimamente invasivo. Fue muy significativo ver el antes y el después de Yasmin", dice.
¿Curar o controlar?
Tras el momento más grave de la crisis, los especialistas evalúan ahora cuál será el futuro del tratamiento de la niña.
Ella toma una pastilla cada 12 horas para mantener la inflamación bajo control y prevenir una mayor hinchazón.
La intervención quirúrgica sin precedentes fue considerada un éxito por los radiólogos intervencionistas.
"Tuvimos una reducción de más del 75% y, después de un mes de seguimiento, no volvimos a tener una cantidad significativa de formación de líquido", señala Santini.
Los expertos igual desconfían de usar la palabra curación para este caso.
"Necesitamos hacer un seguimiento más largo para ver si no hay cambios y el problema vuelve en dos, tres o cinco años", dice Campos.

La pediatra Rafaela Wagner dijo que Yasmin ahora es "libre para ser una niña".
Desde un punto de vista práctico, Yasmin es libre de seguir una rutina normal.
"Nuestra recomendación es que sea una niña y pueda jugar libremente", dice Wagner.
Para Haertner, esta noticia es un gran alivio.
Ella también cree que contar historias como esta ayuda a alertar a otros padres que pueden estar en una situación similar y aún no han podido hacer el diagnóstico adecuado o encontrar el tratamiento más efectivo para un problema.
"Se siente como si una tonelada se me hubiera caído de la espalda", asegura.
"No hay palabras que puedan resumir el sentimiento de volver a ver a Yasmin feliz y con calidad de vida", concluye la abuela.

