5 cosas que deberías saber sobre el virus de transmisión sexual que afecta al 80% de los hombres y las mujeres
Te puede interesar
"Yo tengo ideas boxeadoras": la mujer que se animó a todo
Las infecciones por el virus del papiloma humano (VPH) son muy comunes y contagiosas, y sin embargo en la mayoría de los casos no dan síntoma alguno.
Así, las personas infectadas ni se enteran de que las padecen ni de que se las pueden pasar a sus parejas.
Se contagia por el contacto de la piel con la zona genital y anal, de manera que no es necesaria la penetración para que el virus pueda pasar de una persona a otra. Tampoco el uso de un condón puede prevenir totalmente el contagio, que se puede dar durante el juego sexual o el sexo oral.
Te contamos cinco cosas que deberías saber sobre estas infecciones.
1. Afecta a más del 80% de los hombres y mujeres sexualmente activos en algún momento de sus vidas

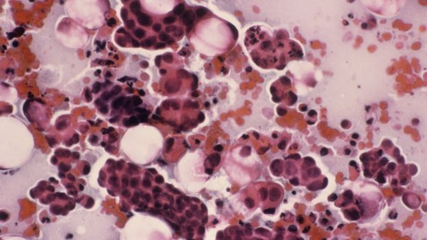
En esta muestra cervical las manchas oscuras indican que hay cáncer de cuello uterino.
Las infecciones de VPH son tan comunes que son casi una evidencia de que una persona es o ha sido sexualmente activa.
Afectan en algún momento de sus vidas a más del 80% de las personas sexualmente activas, según estimaciones del servicio de salud pública de Reino Unido, el NHS, y de la Asociación Estadounidense de Salud Sexual.
En Estados Unidos es la enfermedad de transmisión sexual más común y según los resultados de un sondeo nacional que acaban de ser publicados en la revista especializada JAMA Oncology, casi la mitad de los 2000 hombres participantes la tenían.
2. Las variedades de VPH de alto riesgo pueden causar con el tiempo 6 tipos distintos de cáncer
- cáncer cervical o de cuello uterino, asociado al VPH en un 99% de los casos (datos del NHS)
- cáncer anal, asociado al VPH en un 84% de los casos
- cáncer de pene, asociado al VPH en un 47% de los casos
- cáncer de vulva
- cáncer de vagina
- cáncer de boca y garganta

Las variedades de VPH de alto riesgo incluyen los tipos 16 y 18, que se estima causan más del 70% de los casos de cáncer cervical.
Hay más de 100 tipos de VPH, de los que una treintena afectan a la zona genital. Las variedades de VPH de alto riesgo incluyen los tipos 16 y 18, que se estima causan más del 70% de los casos de cáncer cervical.
Una infección de larga duración, especialmente cuando es causada por ciertos tipos de VPH de alto riesgo, puede causar cáncer con el paso de los años.
Según la encuesta nacional de Estados Unidos publicada en JAMA Oncology, 1 de cada 4 hombres tiene una cepa potencialmente cancerígena.
3. No es fácil de detectar porque no suele haber síntomas

Algunas cepas del virus, las consideradas como menos peligrosas, sí dan como síntomas como verrugas genitales.
En el caso de las mujeres se puede detectar tomando una muestra de las células del cérvix, mediante una prueba de Papanicolaou o citología vaginal.
La prueba específica de VPH puede identificar dentro de esa muestra una o varias de las variedades de mayor riesgo del virus, las que están asociadas al cáncer, al detectar su ADN.
A veces la prueba del virus se hace después de que aparezcan "células anormales" en el cérvix después de una citología de rutina.
En el caso de los hombres, según el NHS, "actualmente no existe ninguna prueba fiable para detectar el VPH y a menudo es muy difícil de diagnosticar ya que las cepas de mayor riesgo del virus no dan síntoma alguno".
Si una persona tiene un riesgo alto de tener una infección de VPH anal o de desarrollar cáncer de ano puede hacerse una citología anal.
Por otro lado, algunas cepas del virus, las consideradas como menos peligrosas, sí dan como síntoma unas verrugas que se pueden ver o sentir al tacto en o alrededor de los genitales, tanto en hombres como mujeres.
4. La infección no se cura pero se pueden tratar sus efectos, si es que se detectan

Algunos cánceres asociados al VPH, como el de boca y garganta y el de pene, no suelen dar ningún síntoma en su fase temprana.
No hay ningún tratamiento que pueda deshacerse del virus de papiloma humano como tal, pero lo que sí se pueden tratar son sus efectos.
La mayoría de las infecciones no causan ningún daño grave y desaparecen por sí solas "dentro de un período de dos años".
Si hay verrugas genitales se pueden tratar con cremas, lociones o productos químicos. También pueden ser extraídas o se pueden destruir sus tejidos mediante congelación o quema.
En el caso de las mujeres una infección persistente de un tipo de VPH considerado de alto riesgo puede causar cambios en las células del cérvix, lo cual aumenta el riesgo de desarrollar cáncer cervical, también llamado de cuello uterino.
La presencia de células consideradas "anormales" en el cérvix se puede tratar si es detectada a tiempo, por eso los expertos recomiendan como prevención que las mujeres se hagan regularmente una citología. El 99% de los casos de cáncer de cuello uterino son causados por el VPH, según el NHS.
Otros cánceres asociados al VPH no suelen dar ningún síntoma en su fase temprana, como el cáncer de boca y garganta y el de pene.
5. Existen vacunas para los jóvenes

La mayoría de las infecciones por VPH que ocasionan cáncer puede prevenirse con vacunas.
Hay varias disponibles en el mercado. Algunas protegen contra dos de las variedades de VPH de más alto riesgo, la 16 y 18, que se estima causan más del 70% de los casos de cáncer cervical.
Otra vacuna más reciente ofrece una protección del 90% frente al cáncer asociado al VPH, al proteger contra más variedades del virus de alto riesgo.
En algunos países estas vacunas se ofrecen como parte del calendario nacional a las niñas adolescentes. Pero cada vez más expertos sugieren que los niños también deberían vacunarse.

