Yao Cabrera reveló la verdad sobre su accidente y compartió pruebas para quienes no le creen
Yao Cabrera rompió el silencio y reveló la verdad sobre el accidente que sufrió en su casa de Villa Carlos Paz. El influencer desmintió las versiones que indicaban que se trató de una farsa y aportó pruebas.
Te puede interesar
El programa de canal América que estrena nueva temporada y promete arrasar
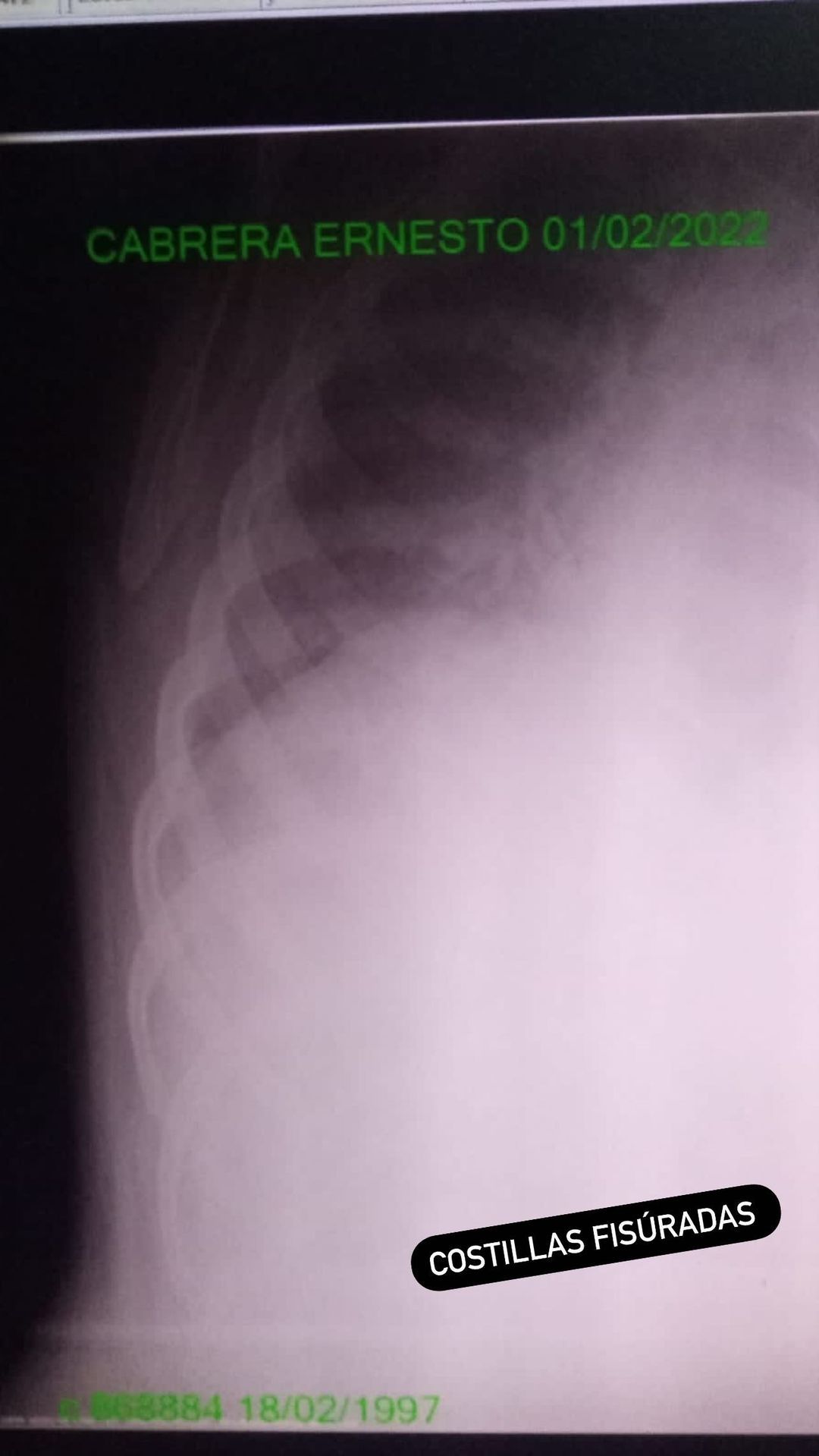
En diálogo con Juan Etchegoyen en Mitre Live, Yao Cabrera que lleva una semana de reposo con una faja reductora que cubre su lesión en las costillas.
“Estoy como un niño enfermo, me traen la comida a la cama", detalló Cabrera antes de contar cómo fue el momento del accidente. El uruguayo aseguró que estaba pintando la casa con su padre al rayo del sol, cuando se descompensó.
“Me desvanecí antes de caerme. Primero pierdo la conciencia y después me caigo. Estaba entrenando tres veces por día y yo soy vegano, no suplemento la carne con nada”, explicó sobre la preparación que estaba haciendo para su combate con el Chino Maidana.

Además, Yao Cabrera contó que estuvo varias horas inconsciente y que llegó a ver a su abuelo que murió hace 15 años. “Sentí que me moría. Vi todo blanco y a mi abuelo que me abría la puerta. Vi la luz, estoy seguro de que vi la luz, que vi el cielo”, aseguró.
Cuando le preguntaron qué piensa de aquellos que creen que su accidente ha sido una mentira, Yao Cabrera aseguró caategórico: “Lo único que siento es que me salvé de irme del otro lado. Yo que tantas veces jugué con esto, ahora los entiendo. Si fuese algo fingido tendría mil videos... Lo más impactante para mí es que no tengo un video de mi caída”.

Sobre sus lesiones, Cabrera aseguró que la mayor complicación está en la costilla y que el golpe en la cabeza por ahora no reviste gravedad.
Antes de la entrevista, Yao Cabrera expresó a través de sus historias de Instagram: “Si hubiese fingido mi caída de un tercer piso mínimo tendría un video del momento cuando caigo grabado en HD y con drones. Porque es a lo que me dedico. Crear contenido ficción para las redes sociales. Sé que les cuesta creerme ya que anteriormente hice cosas actuadas y fingidas pero desde que empecé con la idea de boxear y promover el deporte, me prometí a mí mismo no hacer más nada irreal que pueda dañar a tercero. Un abrazo, Yao Cabrera”.


