"Ni se dan cuenta que les pasó algo": qué es el infarto cerebral "silencioso", cómo afecta la memoria y cómo prevenirlo
Cuando una persona sufre un infarto cerebral -por una hemorragia, obstrucción o compresión de un vaso sanguíneo- las células que quedan desprovistas de oxígeno pueden morir.
Dependiendo de la región cerebral afectada, la persona puede perder el habla, algún movimiento y sensibilidad del cuerpo, o tener dificultades para recordar. Esos son los efectos dramáticos de lo que también se conoce como derrame cerebral.
Pero hay otro tipo de accidente cerebrovascular cuyos efectos son menos evidentes y más difíciles de diagnosticar, pues no muestran síntomas inmediatos.
-
Te puede interesar
Paso a paso: cómo ver tu receta electrónica en la app de Mi Argentina
Se le conoce como infarto lacunar o "silencioso", porque afecta regiones más pequeñas y menos funcionales del cerebro, que no se manifiestan igual que un ataque cerebral sintomático, pero que con el tiempo se pueden acumular y tener un impacto significativo a largo plazo en la memoria del paciente.
Según un estudio publicado en 2012 por la Escuela de Medicina de la Universidad de Harvard, Estados Unidos, los infartos cerebrales silenciosos son más comunes que los infartos con síntomas. Los investigadores estiman que más de un tercio de las personas mayores de 70 ha sufrido un infarto silencioso.
¿Qué sucede en un derrame cerebral?
Derrame es una manera general de referirse a un afección en el cerebro cuando no le llega suficiente oxígeno, ya sea por una hemorragia o una obstrucción. La terminología específica es infarto, ya sea hemorrágico o isquémico.
"Isquemia significa que no le está llegando suficiente oxígeno y el tejido cerebral muere", explicó a BBC Mundo Cristina Koppel, neuróloga del Hospital King´s College, Londres.
En un infarto cerebral típico se bloquean los vasos sanguíneos y las células mueren.
FOTO: GETTY IMAGES
La gran mayoría son infartos típicos, cuando un émbolo o coágulo que se ha desplazado por las arterias obstruye los vasos sanguíneos e interrumpe el flujo sanguíneo.
"Hay que imaginarse el sistema de circulación en la cabeza como un árbol que tiene un tronco -una gran arteria- que se divide en ramas cada vez más pequeñas y tan diminutas que ni siquiera tenemos nombres para esos vasos sanguíneos", dice la doctora Koppel.
"El coágulo, que se puede haber formado en el corazón o en las arterias carótidas (arterias principales del cuello), se desplaza por ese sistema que se vuelve cada vez más estrecho, hasta que ya no puede pasar, bloqueando los vasos sanguíneos que alimentan partes del cerebro.
Sin esa irrigación de sangre rica en oxígeno, las células de esa región dejan de funcionar y pueden morir, generando una combinación de síntomas que pueden ir desde debilidad en parte de la cara, dificultades al hablar o caminar, y problemas de visión.
En Reino Unido, los médicos aconsejan tener presente la sigla FAST, que en inglés se refiere a cuatro palabras: cara, brazo, habla y hora. O sea, si un lado de la cara la tiene caída, el brazo está débil o tembloroso, se tiene dificultad con el habla... es hora de llamar la ambulancia.
"Si el paciente llega al hospital en un espacio de unas 4 horas y media, después de un escaneo para asegurar que no es un infarto hemorrágico, se le puede administrar un fármaco antitrombótico para disolver el coágulo y desbloquear la arteria", señala la neuróloga.
Todas estas habilidades perdidas durante un infarto típico reflejan las funciones que estaban controladas por la región afectada en el cerebro.
Parálisis de un lado de la cara es uno de los síntomas de un infarto isquémico.
FOTO: GETTY IMAGES
"Ni se dan cuenta que les pasó algo"
Pero hay un tipo de infarto cerebral que no se manifiesta de esta manera tan evidente, por que "no ocurre en la periferia, sino dentro del cerebro y afecta las regiones más profundas".
Se le llama infarto lacunar o silencioso, en cuyo caso, la interrupción de flujo sanguíneo destruye células en regiones del cerebro que no controlan funciones vitales, regiones "silenciosas".
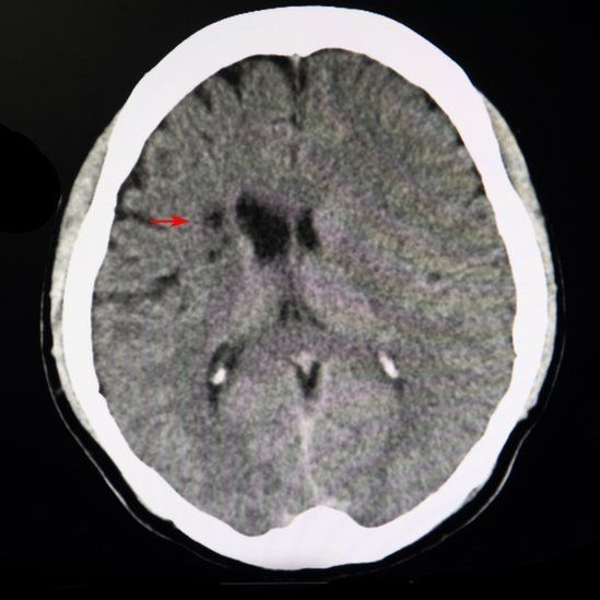
El daño es tan pequeño que no generan síntomas obvios y sólo se pueden observar con una imagen por resonancia magnética (IRM) o una tomografía computarizada (escaneo TC).
"Se ven como un pequeño puntito", indica la doctora Koppel. "Muchas veces, cuando les preguntamos, los pacientes ni se dieron cuenta de que les pasó algo".
"Es porque ese infarto profundo no dio síntomas o fueron tan leves que el paciente ni va al hospital", agrega.

Un infarto cerebral silencioso sólo se puede confirmar con una imagen por resonancia magnética (IRM) o una tomografía computarizada (escaneo TC)
FOTO: GETTY IMAGES
Aunque podrían haber sufrido alguna sutil deficiencia cognitiva temporal, la mayoría de las víctimas de este tipo de infarto silencioso no saben que lo sufrieron.
No obstante, por más pequeña que sea la lesión, "hay células muertas ahí, que afectan el cableado o las conexiones del cerebro".
Si se acumulan muchos de estos infarto, el escenario más común es que se afecten ciertas funciones del cerebro, lentitud cognitiva, torpeza al andar, falta de memoria y, como consecuencia la demencia vascular.
Problemas de memoria
Aunque los efectos no sean inmediatamente obvios, un infarto cerebral silencioso puede interrumpir el flujo de sangre necesario para la memoria.
En un estudio publicado en la revista especializada Neurology, los investigadores estudiaron a 650 personas sin historial de demencia, buscando evidencia de interrupción del abastecimiento sanguíneo en los cerebros de los participantes a través de IRM.
En más de 170 de los participantes se encontraron pequeñas regiones de tejido muerto por falta de irrigación sanguínea al cerebro, aunque sólo 66 de ellos reportaron haber tenido síntomas de un infarto cerebral.
Todos los pacientes que habían sufrido estos infartos tenían dificultades con la memoria y procesos cognitivos. Estos problemas se dieron independientemente de otras formas de pérdida de memoria asociada con la edad.
Los investigadores concluyeron que a medida que se acumulan los daños causados por estos infartos silenciosos, es más difícil que el cerebro funcione normalmente.

Los daños de un infarto silencioso son pequeños, pero su acumulación tiene serias consecuencias para la memoria.
FOTO: GETTY IMAGES
Debido a que las mujeres viven más, ellas son más vulnerables a sufrir infartos cerebrales. Los médicos recomiendan que se sometan a exámenes para evaluar los factores de riesgo de enfermedad cerebrovascular.
Prevención
La demencia vascular no se puede revertir. Como no es posible para todos hacer una IRM o escaneo TC, hay cosas que se pueden hacer para reducir los factores de riesgo.
El principal factor, dice la neuróloga Cristina Koppel, es la hipertensión "y es lo primero, segundo y tercero que controlamos".
También se monitorea el colesterol, la diabetes, y se aconseja reducir el consumo de sal y no fumar.
"Se debe empezar un tratamiento con aspirina u otro anticoagulante como clopidogrel, que es un agente antiplaquetario que inhibe la formación de coágulos", señala Koppel.
A eso se le añaden recomendaciones para adoptar una dieta sana, hacer ejercicio rutinariamente y asistir disciplinadamente a los chequeos médicos.
"Con la edad hay que prestarle mayor atención", advierte la neuróloga. "A todos nos va a pasar en un grado u otro", señala.

Hay maneras de reducir el riesgo de infartos "silenciosos", como caminar a buen ritmo unos 30 minutos, cinco días a la semana.
FOTO: GETTY IMAGES
Qué puedes hacer para evitar la pérdida de la memoria por infarto silencioso
- Controlar la hipertensión con chequeos regulares y tomar los fármacos que la reduzcan
- Limitar el consumo de sal a menos de 6 gramos al día
- Mantener bajos los niveles de colesterol LDL
- No fumar
- Controlar el peso y mantener el índice de masa corporal entre 19 y 25
- Consumir por lo menos 200 gramos de fruta y 300 gramos de vegetales al día
- Hacer deporte o caminar a buen ritmo durante 30 minutos, cinco días a la semana

