Cómo quitar el sarro de los dientes con estos productos básicos
Si sufres de sarro en los dientes lo ideal es que acudas a un centro especializado como un odontólogo para la eliminación definitiva. No obstante, existen algunos trucos que puedes hacer en tu hogar para hacer una limpieza profunda de tu boca, incluso más importante también, para prevenir su aparición.
Te puede interesar
La Anmat prohibió la venta y uso de productos de limpieza sin registro
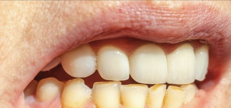
El sarro en los dientes aparece por varios factores. El más común es por una limpieza deficiente de la dentadura. Ya que esta placa dental está conformada por bacterias que se enduceren y se convierten en sarro. Lo que produce que los dientes se vuelvan amarillos y sea cada vez más díficil deshacernos de ella.
Cómo quitar el sarro de los dientes sin ir al dentista
Cómo dijimos anteriormente, la forma correcta de quitarse el sarro es acudiendo al dentista. Pese a esto, el consejo que traemos hoy es utilizar algunos productos caseros como el jugo de limón para enguajarte la boca. Puedes realizarlo dos veces al día y cómo para otras cosas, tales como la ropa blanca, el jugo de limón funcionará como un blanqueador natural.
Otro truco para utilizar en la limpieza de tus dientes es con bicarbonato de sodio. Para poner en práctica este método debes poner el cepillo bajo el agua y aplicar una mezcla de bicarbonato y sal. Con estas dos maneras de mejorar tu higiene bucal debes tener cuidado ya que la práctica diaria de esto puede desgastar el esmalte de tus dientes.
Por último, puedes utilizar perejil fresco para la limpieza de tus dientes. Para esto se debe lavar y picar bien un puñado de perejil fresco, mezclarlo con una cucharada de agua a temperatura ambiente y poner esa pasta que se forma en los dientes durante unos minutos.

