La arriesgada operación en la que le sacaron una granada del pecho a un soldado ucraniano sin que explotara
Te puede interesar
Irán asegura que ahora los ataques contra Israel "son más fáciles que antes"
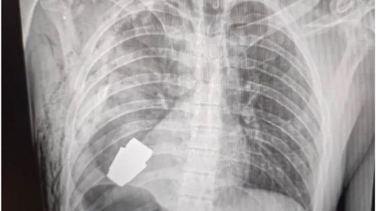
El gobierno ucraniano describió como un "susto afortunado" la terrible experiencia por la que tuvo que pasar un soldado herido, a quien le extrajeron con éxito una granada que se encontraba en su pecho.
El resultado de la delicada operación fue dado a conocer por la viceministra de Defensa, Hanna Maliar, quien publicó en redes sociales que "no todas las heridas en la zona del corazón son letales".
Agregó que la granada fue extraída bajo la supervisión de dos militares expertos en explosivos para tratar de asegurar la seguridad de los médicos y dar indicaciones para evitar que fuera detonada.
Maliar contó que la operación estuvo a cargo del cirujano militar, Andriy Verba, de 57 años, considerado uno de los más experimentados doctores del ejército ucraniano.
Durante la operación no se pudo utilizar la electrocoagulación, procedimiento común en las cirugías del corazón para evitar que el paciente sufra una hemorragia, por temor a que la corriente eléctrica pudiera detonar la granada.
El fragmento de la granada de fabricación rusa que quedó alojado en el cuerpo del soldado tenía cuatro centímetros de diámetro y pesaba 275 gramos.
20 segundos
Este tipo de granadas de tipo VOG, desarrolladas en la Unión Soviética en la década de 1960, se pueden utilizar en varios tipos de lanzagranadas y llegan a tener un alcance de hasta 400 metros.
Normalmente son granadas que explotan unos 20 segundos después de ser lanzadas.

Según las fuerzas ucranianas, han sido utilizadas desde el inicio del conflicto en el este del país en 2014.
Lo que más impresiona a los analistas es cómo la granada permaneció sin detonar pese a mantenerse explosiva durante y después de la operación hasta que fue desactivada por los especialistas
La identidad del paciente no ha sido revelada y solo se conoce que nació en 1994.
"Su condición es estable", informó Anton Gerashchenko, asesor del ministerio de Asuntos Internos.
"Creo que este será un caso del que quedará en los libros de texto de la medicina", agregó.

