Todo lo que tenés que saber acerca de implantes dentales
La pérdida de un diente no sólo afecta la función básica de masticar, sino también todos los aspectos de la vida. Cuesta más encontrar trabajo y las relaciones sociales se debilitan, pues la persona tiende a esconderse y ver disminuida su autoestima y calidad de vida. El perder una pieza dental puede ser terrible. Peor aún si la pieza faltante no es una, sino muchas o incluso todas y mas si la perdida es en una zona estética como el sector anterior.
Por lo general, son tres las causas por las que se puede perder un diente: caries, problemas peridontales (ambas por falta de higiene) y accidentes traumáticos.
Un diente se divide en corona y raíz, siendo la corona la parte visible cubierta de esmalte blanco y la raíz es la parte que se extiende desde la mandíbula hasta la superficie de la corona para sostenerla.
Entonces ¿qué es un implante dental? es una raíz artificial que sostiene a una corona artificial cuyo fin es realizar la función de diente.
¿Para qué sirve el implante dental?
La función del implante, es remplazar un diente perdido. Siendo la raíz la parte del diente que se remplaza con el implante dental.
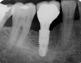
Partes del implante dental
Un implante dental se divide principalmente en 3 partes las cuales son:
-
El implante (Elaborado principalmente de titanio)
El pilar (Pieza que une el implante con la corona o prótesis)
La corona o prótesis (Parte visible, lo que da el aspecto de diente natural)
Las 3 partes forman un implante dental completo, a la derecha se aprecia el implante, una imagen dice más que mil palabras.
Material del implante dental
Los implantes dentales están elaborados principalmente de titanio el cual es un material bio-compatible. Estudios realizados indican que este material ofrece resistencia, durabilidad y lo más importante es que contiene una propiedad única que permite la integración directa con el hueso, mejor conocida como osteointegración.
La principal ventaja que brinda un implante dental por sobre una prótesis removible es la seguridad de fijación que brinda al comer, reír y hablar. Un implante dental es más funcional que una prótesis removible y lo mas parecido a un diente natural.
¿Cómo saber si puedo colocarme implantes dentales?
Hoy en día prácticamente todas las personas pueden ser sometidas a este tratamiento. La complejidad y características particulares de cada caso se ven solucionadas con los diferentes tipos de implantes existentes en el mercado y el avance de las técnicas quirúrgicas, como la realización de injertos óseos, logran que el resultado de la planificación de cada caso sea exitoso y óptimo. Actualmente esta científicamente comprobado que los implantes dentales tienen un éxito de un 95-98%
¿Existen contraindicaciones para colocarse un implante dental?
No existen registros de personas que sean alérgicas al titanio, sin embargo los pacientes de manejo complicado son todos aquellos con enfermedades crónicas debilitantes no controladas como por ejemplo, pacientes diabéticos no controlados.
¿Cuáles son los riesgos de los implantes dentales?
Como toda intervención quirúrgica, siempre existe el riesgo de infección en el área tratada, que se origina normalmente por no seguir las indicaciones postquirúrgicas. Este riesgo se reduce a cero cuando el paciente cumple lo indicado por su cirujano como una profilaxis antibiotica y lo acompaña de una buena higiene oral y controles periódicos a su dentista.
¿Cómo se debe cuidar un implante dental?
Un implante dental requiere hasta menos cuidados que un diente natural, basta con el cepillado dental normal y los controles periódicos con su dentista.
¿Cuánto duran los implantes dentales?
Los implantes dentales tienen una duración de más de 20 años, los primeros que fueron colocados por nuestros especialistas aun están en perfecto uso.
Ivana Viegas (1669) Odontóloga Especialista en Implantología Buco Máxilo Facial y en Periodoncia.
