Los dentistas pediátricos están en problemas
Los alimentos y bebidas azucaradas son perjudiciales para los niños por la cantidad de calorías que contienen pero además, los dentistas pediátricos están encontrando otro problema: una gran cantidad de caries en niños como resultado de las dietas con alto contenido en azúcar.
Según el Centro para Control y Prevención de Enfermedades, el 42% de los niños entre 2 y 11 años han tenido caries en los dientes de leche, y el 21% de los niños de 6 a 11 de ellos han tenido caries en sus dientes permanentes.
En 2012, un artículo del New York Times informó que el nivel de caries de los dientes era tan grave que los dentistas recomendaban el uso de anestesia general en los niños, ya que eran procesos de larga duración y era casi imposible que los niños permanecieran quietos.
Los dentistas a menudo aconsejan a los padres a mantener a los niños lejos de las bebidas y alimentos azucarados pero esto no quiere decir que las alternativas sean mucho mejor para la salud dental.
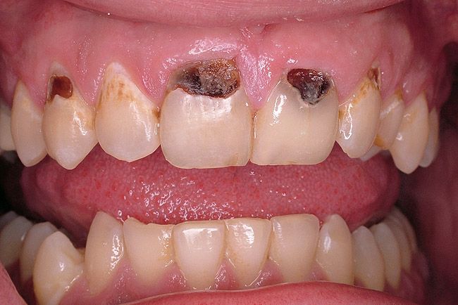
Este Doctor que presentó el caso en su web extrae cerca de 60 dientes de leche a lo largo de un año. Su consejo para los padres fue adoptar una política de agua y leche en lo que a los líquidos en la dieta se refería.
De acuerdo con el centro de Odontología de Vermont ‘Los refrescos y aperitivos azucarados siempre están disponibles para el consumo en todos los lugares en los que normalmente los niños se relacionan. Las escuelas permiten la presencia de dulces y máquinas expendedoras, al igual que ocurre en las actividades extra-escolares o incluso en nuestra propia casa, siempre hay algo dulce en la nevera o los armarios que los rodean’.
Según la cadena ABC, los niños llegan a convertirse en adictos a los refrescos durante todo el día.
Algunos expertos en el tema dicen que la función de los padres es crítica en este asunto. Es su deber hacer que sus hijos se laven diariamente sus dientes, usen hilo dental regularmente y lleven a cabo rutinarios chequeos con el dentista. El hecho de que un alimento o bebida contenga la etiqueta ‘sin azúcar’ no significa que tampoco sea bueno para los dientes.
La Universidad de Melbourne (Australia) hizo un experimento utilizando 23 tipos de refrescos, algunos de ellos ‘libres de azúcar’. En dichos productos encontraron aditivos que dañan a los dientes de una forma similar que el azúcar.
Te dejamos aquí algunas gráficas para que las tengas en cuenta la próxima vez que vayas a beber o comer alguno de estos alimentos.
Cada cubito es una cucharada de azúcar
Además de los daños del azúcar a tus dientes, un reciente estudio ha demostrado que los niños que consumen una gran cantidad de azúcar en su dieta son 3.5 veces más propensos a ser obesos que los que no consumen dichos azúcares. Eliminando una lata de refresco al día de su dieta, sin contar con el ejercicio que hagan o las calorías consumidas, puede reducir el riesgo de diabetes en los niños.
