Presenta:

Ahora ven a Jesús en una ecografía en el norte del país

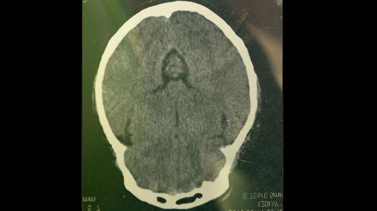
A la mujer le cayó un portón en la cabeza, pero sólo sufrió hematomas según reveló la placa en la que la mujer ve la imagen de Jesús.
733065.jpg

Una mujer a la que le realizaron una tomografía tras sufrir un fuerte golpe en la cabeza en una casa de Santiago del Estero asegura que la figura de Jesús aparece en la placa.

En medio del dolor y el susto que aún tenía por haberse golpeado este domingo con un pesado portón de madera, descubrió que en la placa que le habían realizado estaba la imagen de quien ella cree fervorosamente.

Con los ojos llenos de lágrimas y aún emocionada por lo todo lo que le toca vivir, Estela una vecina del barrio Ejército Argentino, creyente y fiel de devota de Mama Antula, contó al diario El Liberal esta experiencia de fe que conmueve a su familia, amigos y vecinos.

"Estaba festejando el cumpleaños de mi hija en una finca del caminito Niño Jesús. Acompañé a un amigo afuera y cuando volví, corrí el portón que tiene como 600 kilos, es de quebracho colorado y hierros, y se me cayó encima. Estuve inconsciente, sentía que no tenía la mitad de la cara".

"En cuanto me vio mi marido me levantó y me llevó al Hospital Regional. Inmediatamente me atendieron, me hicieron una tomografía. Y los médicos me dijeron que no tenía nada, solamente hematomas en la cara. Cuando volvimos a casa nos dimos cuenta que en la tomografía estaba la imagen de Jesús", contó.

En su misión de compartir su creencia y llevar el mensaje de Dios, Estela decidió compartir su experiencia de fe. "Es muy emocionante. Soy muy creyente en Jesús. Siempre en mis rezos, todas las noches, le pido que me acompañe siempre y le digo ‘quiero ver algo tuyo'."

"¡Qué mas prueba que esto! Es algo que me emociona muchísimo, porque siempre me aboco a mi Dios y mi Jesús y ahora justamente pasando un mal momento con mi padre enfermo, más que nunca rezo, oro y creo que él me ha elegido para que siga teniendo fe y contando a todos, que estamos muy faltados de fe", añadió.

Agregó que cuenta su historia para que la gente se acerque más a Dios y crea en sus bendiciones. "Creo que es la imagen del Sagrado Corazón de Jesús, de quien somos devotos también", añadió.

También contó que desde hace 35 años su familia es devota de María Antonia de Paz y Figueroa, a quien le están construyendo una gruta en el barrio y le pidieron su ayuda en esos momentos de angustia.

"Cuando veía que le hacían los estudios, después del golpe, le pedí a la Mama Antula que nos ayude a salir bien de esta situación, tal como nos había ayudado antes", cerró José, el esposo de Estela.